잇몸이 내려 앉을 때
- 검사수치·진단서 읽기
- 2025. 7. 26.
잇몸이 내려 앉을 때
“요즘 이가 길어진 것 같지 않아?” 어느 날 거울을 들여다보다가 이런 말을 꺼낸 친구가 있었어요. 그 친구는 처음엔 치아가 노출돼서 웃을 때 민망하다는 고민이었는데, 알고 보니 그게 바로 잇몸이 내려앉은 현상이었죠. 잇몸 퇴축은 생각보다 많은 사람들이 겪고 있지만, 문제로 인식하지 못하고 방치하는 경우가 많습니다. 초기에는 잇몸이 내려 앉을 때 통증이 없거나 증상이 미미하기 때문에 스쳐 지나가는 일이 많아요. 하지만 시간이 지나면 치아가 시리고, 음식을 먹을 때 불편함이 점점 커지죠.

잇몸이 내려앉는 건 노화 현상이 아니라 구강 건강의 적신호예요. 20~30대 젊은 층에서도 교정치료나 과도한 스트레스, 잦은 이갈이, 강한 칫솔질 등의 이유로 잇몸 퇴축이 나타날 수 있습니다. 그리고 잇몸이 한 번 내려앉기 시작하면, 저절로 회복되지는 않아요. ‘치아가 길어진 느낌이 든다’, ‘시큰거린다’, ‘입 냄새가 심해졌다’ 같은 신호가 있다면 더 늦기 전에 점검이 필요합니다.


잇몸이 내려앉는 이유는 생각보다 다양해요
잇몸이 내려 앉을 때 가장 흔한 원인은 역시 치주염입니다. 치주염은 잇몸에 염증이 생기고, 그 염증이 점점 잇몸 조직과 뼈를 무너뜨리는 질환이에요. 플라그(치태)와 치석이 제대로 제거되지 않으면 세균이 염증을 유발하고, 결국 잇몸이 무너지며 치아 뿌리가 노출되게 되죠. 눈에 띄지 않게 서서히 진행되기 때문에 정기검진 없이 방치하다가 뒤늦게 발견되는 경우가 많습니다.
그 외에도 칫솔질 습관이 큰 영향을 줍니다. 세게, 그리고 수평으로 이를 닦는 사람들 중에 잇몸이 빠르게 내려앉는 경우가 흔해요. 또, 수면 중 이갈이, 잘 맞지 않는 보철물, 흡연, 교정 치료 후의 후유증, 면역 저하 등도 복합적으로 작용할 수 있어요. 주변에선 “나 양치 열심히 하는데 왜 잇몸이 내려갔지?”라고 말하는 분들이 많은데, 바로 ‘너무 열심히’ 닦는 것이 원인일 수 있다는 걸 잘 모르세요. 무엇보다 중요한 건 본인의 잇몸 타입과 구강 상태에 맞는 관리법을 찾는 거예요.


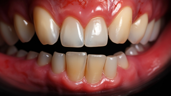
잇몸 퇴축, 어떤 모습일까요?
잇몸 퇴축은 쉽게 말해 ‘치아 뿌리가 보이는 상태’예요. 치아는 우리가 생각하는 것보다 훨씬 길고, 그 아래쪽 뿌리 부분은 원래 잇몸 속에 숨어 있어야 정상이에요. 그런데 잇몸이 얇아지거나 밀려 내려가면서, 이 뿌리 부분이 겉으로 드러나게 됩니다. 시각적으로도 치아가 길어 보이고, 거울을 보면 위아래 치아 경계선이 들쑥날쑥해 보이기도 하죠.
문제는 이런 외관상의 변화만이 아니에요. 잇몸 퇴축은 치아의 민감도를 높이고, 외부 자극에도 쉽게 반응하게 만들어요. 차가운 물을 마셨을 때 시큰하거나, 양치 후에도 시린 느낌이 오래 간다면 잇몸 퇴축을 의심해볼 수 있어요. 잇몸이 벌어지면 음식물이 자주 끼고, 세균이 쉽게 침투해 염증과 구취(입 냄새)로도 이어질 수 있습니다. 한마디로, 외모 문제가 아니라 구강 건강 전반을 위협하는 문제입니다.
잇몸 퇴축, 특효약은 있을까요?
결론부터 말하면, 아직까지 잇몸을 완전히 되돌리는 ‘특효약’은 없어요. 하지만 보조적인 개선을 기대할 수 있는 제품은 있어요. 대표적인 것이 코엔자임 Q10, 프로폴리스, 유비퀴논, 녹차추출물입니다. 이런 성분들은 세포 재생이나 항염 작용에 도움을 줄 수 있어요. 최근에는 구강 유산균 제품도 각광받고 있는데, 입 안 세균 균형을 맞춰 잇몸 염증을 예방하는 데 도움을 줄 수 있죠.
하지만 이런 제품을 먹는다고 해서 바로 눈에 띄는 변화가 생기진 않아요. 꾸준한 복용과 함께 구강 관리 습관을 바꿔야 시너지 효과를 볼 수 있어요. 잇몸이 내려 앉을 때 결국 기본은 생활습관이라는 사실, 절대 잊지 마세요.


잇몸 복원치료, 어디까지 가능할까요?
이미 내려간 잇몸을 원래대로 되돌리는 건 쉽지 않지만, 일정 부분은 치료로 보완할 수 있어요. ‘잇몸 이식술’은 많이 사용하는 치료법인데, 입천장에서 건강한 잇몸 조직을 떼어 퇴축 부위에 덮어주는 방식입니다. 수술 시간은 짧고, 숙련된 의료진이 시행하면 회복도 빠른 편이에요. 이 외에도 조직 재생 유도술(GTR), 자가혈액을 이용한 PRF 치료 등 다양한 치료법이 있으며, 환자의 상태에 따라 선택하게 됩니다.
최근엔 레이저를 활용한 치료나, 특수 재료를 이용한 무절개 방식도 시도되고 있어 부담이 많이 줄었어요. 그러나 중요한 건 어떤 치료든 ‘기초 위생관리’가 선행되어야 한다는 점입니다. 스케일링이나 염증 치료 없이 복원치료만 진행하면, 얼마 지나지 않아 같은 부위가 다시 퇴축될 수 있어요. 치료 전후로도 구강위생 습관을 철저히 점검하고 개선해야 장기적인 효과를 기대할 수 있습니다.


잇몸 건강에 도움이 되는 음식들
건강한 잇몸은 식생활에서 비롯된다는 말, 절대 과장이 아닙니다. 우리가 섭취하는 영양소 중 잇몸에 특히 중요한 것은 비타민 C와 칼슘이에요. 비타민 C는 콜라겐 형성을 돕고 염증을 완화하는 데 효과적이라서, 키위, 오렌지, 파프리카, 브로콜리 같은 과일과 채소가 좋습니다. 지인 중에는 아침마다 생과일 스무디를 마신 뒤로 잇몸 출혈이 줄었다고 해요.
또한 잇몸이 내려 앉을 때 칼슘이 풍부한 멸치, 두부, 우유, 뼈째 먹는 생선 등은 치아와 뼈를 튼튼하게 유지하는 데 필수예요. 항염 작용이 있는 녹차, 마늘, 강황도 잇몸 건강에 도움이 됩니다. 하지만 너무 딱딱하거나 질긴 음식은 퇴축된 잇몸을 자극할 수 있으니 조심해야 해요. 육포, 딱딱한 견과류, 마른 오징어 같은 건 조심해서 드시는 게 좋아요.


잇몸 치료, 비용도 궁금하시죠?
잇몸 퇴축은 치료 방법이 다양하고, 그에 따라 비용도 천차만별입니다. 기본적인 스케일링은 건강보험이 적용돼서 1~2만 원대로 가능하지만, 잇몸 이식술이나 조직 재생술 같은 고급 치료는 부위당 수십만 원에서 백만 원 이상도 들어요. 예를 들어 앞니 한 부위 잇몸 이식 비용은 평균적으로 40만 원에서 80만 원 사이이고, 양쪽을 동시에 하면 부담도 두 배가 되죠.
게다가 이런 치료들은 대개 비급여 항목이라, 개인 부담금이 꽤 큽니다. 주변 지인은 PRF 시술과 이식술을 병행했는데, 총 120만 원이 들었다고 했어요. 병원마다 사용하는 재료나 의료진의 경험에 따라 가격이 다르기 때문에 반드시 사전 상담을 받는 것이 중요해요. 그리고 이런 큰 비용이 들기 전에 예방 습관을 들이는 것이 훨씬 더 경제적이랍니다.


잇몸 치약, 뭐가 다를까요?
잇몸 전용 치약은 일반 치약과 달리 항염 성분이 더 많이 들어가 있어요. 녹차추출물, 트리클로산, 알란토인, 감초 추출물 같은 성분이 대표적이에요. 그리고 미세 입자로 만들어져 있어 마모도가 낮기 때문에, 민감한 잇몸에 자극을 덜 줍니다. 지인은 이를 바꾸고 나서 잇몸 출혈이 현저히 줄었다고 해서 저도 따라 써봤는데, 확실히 입 안이 편안해지더라고요.
하지만 치약만으로 퇴축을 되돌릴 순 없어요. 보조적인 역할이므로 칫솔질 습관, 잇몸 마사지, 스케일링 등과 함께 병행해야 해요. 그리고 미백 기능이 강한 치약은 오히려 잇몸에 자극을 줄 수 있으니, 이런 제품은 피하시는 게 좋아요.


인사돌, 정말 효과 있나요?
인사돌은 오래전부터 사랑받아온 잇몸이 내려 앉을 때 대표적인 잇몸약이에요. 주성분인 트라넥삼산은 지혈 효과가 있어 잇몸 출혈이 심할 때 도움을 줄 수 있어요. 항염 성분이 함께 들어 있어 잇몸 붓기와 통증을 완화하는 데에도 효과가 있죠. 치주염 초기에 사용하면 염증을 어느 정도 진정시키는 데 도움이 될 수 있어요.
다만, 인사돌도 잇몸 퇴축 자체를 되돌리는 약은 아니에요. 오히려 증상이 가라앉아 ‘괜찮아졌나 보다’ 하며 방심하면 치료 시기를 놓칠 수 있어요. 주변 지인도 인사돌을 복용하며 한동안 증상이 나아졌지만, 이후 급격히 악화돼 결국 수술을 받았어요. 약보다는 진단과 치료를 먼저 받는 것이 가장 현명합니다.


잇몸이 내려 앉을 때 Q&A
1. 잇몸이 내려앉으면 꼭 치료해야 하나요?
→ 초기에는 증상이 없을 수 있지만, 장기적으로는 염증, 통증, 치아 흔들림으로 이어질 수 있어요. 조기 치료가 필요합니다.
2. 잇몸 퇴축은 나이 들면 누구나 생기는 건가요?
→ 나이도 한 요인이지만, 생활습관이나 질병, 칫솔질 습관이 더 큰 영향을 줍니다.
3. 치료 없이 그냥 둬도 괜찮을까요?
→ 잇몸이 계속 내려가면 치아가 빠질 수도 있어요. 무조건 병원에서 진단받아야 해요.
4. 치과 치료는 아프고 무섭지 않나요?
→ 요즘은 마취 기술도 발달했고, 레이저 치료 등으로 통증을 최소화한 치료도 많아요.
5. 치료 후에도 잇몸이 또 내려올 수 있나요?
→ 생활습관을 개선하지 않으면 재발 가능성이 큽니다. 특히 칫솔질과 흡연 습관이 중요해요.


6. 치약만 바꿔도 효과 있나요?
→ 일정 부분 도움은 되지만, 원인을 해결하진 못합니다. 병행 치료가 필요해요.
7. 잇몸에 좋은 음식은 뭐가 있을까요?
→ 비타민 C와 칼슘이 풍부한 채소, 과일, 두부, 멸치, 브로콜리, 녹차 등이 좋습니다.
8. 민간요법으로 치료 가능한가요?
→ 항염 효과는 있을 수 있지만, 과신은 금물이에요. 진단과 병행하는 것이 안전해요.
9. 치료비가 부담스러운데 어떻게 해야 하나요?
→ 초기에 관리하면 비용도 줄어들어요. 늦을수록 비보험 치료로 비용이 커집니다.
10. 예방이 정말 가능하나요?
→ 네, 올바른 칫솔질, 정기 스케일링, 금연, 스트레스 관리만으로도 충분히 예방할 수 있어요.


'검사수치·진단서 읽기' 카테고리의 다른 글
| 요즘 독감 증상 순서 - 2025년 올해 (0) | 2025.11.05 |
|---|---|
| 임파선염 증상 총정리! (0) | 2025.06.27 |
| 임신 초기증상 지금 확인하세요 (0) | 2025.06.27 |
| 유방암 초기증상 (0) | 2025.06.19 |
| 유기질 비료 무기질 비료 (무기질 유기질 차이점) (0) | 2025.06.19 |